Mobirise

Serviços

Confira abaixo nossos principais serviços

RaioClin Centro de Radiologia Odontológico

Tomografia Computadorizada Cone Beam

Tomógrafo de última geração proporciona imagens de altíssima definição, facilitando sobremaneira o diagnóstico, planejamento e tratamento dos processos evidenciados.
Desde minúsculas fraturas radiculares até problemas de alta complexidade são atributos das imagens adquiridas.  

RaioClin Centro de Radiologia Odontológico

Radiografias Panorâmicas Digitais

É indicada para grandes áreas patológicas problemas da ATM, desvio de septo nasal, extrações dos terceiros molares (dente do siso), verificações de crescimento e desenvolvimento na ortodontia e odontopediatria, fraturas da mandíbula, para diagnóstico geral inicial e acompanhamentos de tratamentos, proporcionando também uma visão ampla das condições anatômicas da face.

RaioClin Centro de Radiologia Odontológico

Tele Radiografias Digitais

Exame, onde se registram imagens da cabeça em posição lateral e frontal, nas quais realizam-se análises cefalométricas, que irão facilitar aos ortodontistas e cirurgiões um correto planejamento.

RaioClin Centro de Radiologia Odontológico

Radiografia Carpal

A estimativa da idade óssea através da radiografia carpal é frequentemente utilizada para avaliar desordens no crescimento em pacientes pediátricos, sendo possível identificar se o seu crescimento evoluiu.

RaioClin Centro de Radiologia Odontológico

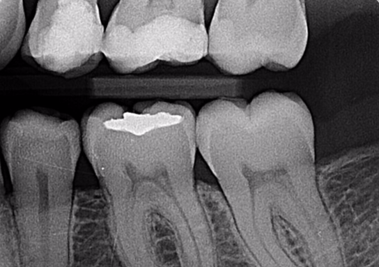
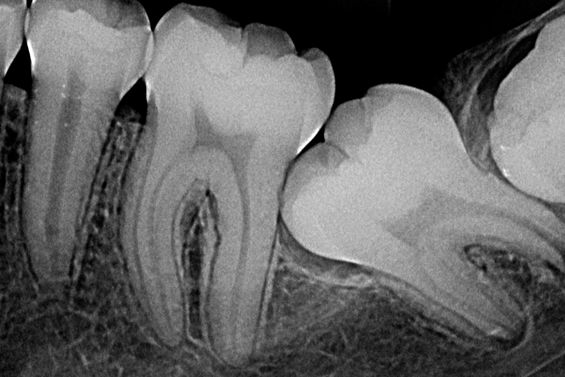
Radiografias Periapicais Digitais

Tem como objetivo visualizar os ápices das raízes dos dentes e das estruturas que os rodeiam. É utilizada para pesquisa e lesões periapicais e periodontais, fraturas, anomalias, reabsorções e outras lesões que atingem os dentes.
O Levantamento Periapical é o exame mais completo dentro do grupo das radiografias periapicais, sendo
composto de 14 radiografias.

RaioClin Centro de Radiologia Odontológico

Fotografias Interproximais

Especialmente utilizada para o exame das faces interproximais dos dentes posteriores, com o objetivo de detectar a presença de processos de cáries nesta região, avaliar contorno e adaptação marginal de restaurações e presença de lesões periodontais, auxiliar também nas regiões anteriores para detecção de cárie.

RaioClin Centro de Radiologia Odontológico

Fotografias Intra e Extra Oral

Complemento essencial para o planejamento ortodôntico.

RaioClin Centro de Radiologia Odontológico

Moldagens

A moldagem digital é feita por leitura óptica, por meio de um dispositivo que praticamente não toca os dentes, aumentando muito o conforto do paciente.

RaioClin Centro de Radiologia Odontológico

Documentação Ortodôntica

Tem como finalidade proporcionar uma visão abrangente do paciente, permitindo maior detalhamento e entendimento do caso pelo dentista, proporcionando condições de um planejamento perfeito com resultados adequados no tratamento.

Compartilhe esta página